İlginizi Çekebilir
Bitlis 2 şahsın midesinden 1 kilo 96 gram eroin çıktı
Bitlis 2 şahsın midesinden 1 kilo 96 gram eroin çıktı
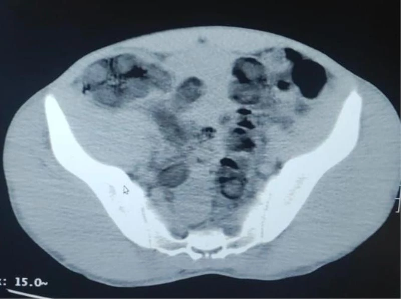
Bitlis’te 2 şüpheli şahsın midesinden 176 kapsül içerisinde 1 kilo 96 gram eroin maddesi çıktı.
Bitlis Valiliğinden yapılan açıklamada, "Bitlis İl Jandarma Komutanlığı unsurlarınca yapılan istihbari çalışmalar neticesinde, Güroymak ilçesi Günkırı mevkiinde icra edilen yol kontrol faaliyetinde, Van-İstanbul seferini yapan bir yolcu otobüsünde iki şüphelinin vücutlarında uyuşturucu madde taşıdıkları bilgisi alınmıştır. Şüphelilerin çekilen tomografi ve röntgen görüntülerinde mide ve bağırsaklarında yabancı cisim olduğu tespit edilmiştir. Yapılan operasyonla her iki şüphelinin midesinden toplam 176 adet kapsül içerisinde 1 kilo 96 gram eroin maddesi ele geçirilmiş, şüpheli 2 şahıs gözaltına alınmıştır. Gözaltına alınan 2 şüpheli adli işlemlerinin tamamlanmasına müteakip 22/23 Şubat günlerinde adli makamlara sevk edilmelerine müteakip tutuklanarak Bitlis kapalı cezaevine teslim edilmiştir. Yarınlarımızın teminatı olan çocuklarımızı ve gençlerimizi uyuşturucudan korumak maksadıyla, uyuşturucu madde türevlerinin ticaretini yapan veya sosyal medya aracılığı ile alenen özendiren şahıslarla, yılmadan ve yorulmadan etkin mücadeleye bölge halkının da desteği ile kararlılıkla devam edilmektedir" denildi.
Bitlis Valiliğinden yapılan açıklamada, "Bitlis İl Jandarma Komutanlığı unsurlarınca yapılan istihbari çalışmalar neticesinde, Güroymak ilçesi Günkırı mevkiinde icra edilen yol kontrol faaliyetinde, Van-İstanbul seferini yapan bir yolcu otobüsünde iki şüphelinin vücutlarında uyuşturucu madde taşıdıkları bilgisi alınmıştır. Şüphelilerin çekilen tomografi ve röntgen görüntülerinde mide ve bağırsaklarında yabancı cisim olduğu tespit edilmiştir. Yapılan operasyonla her iki şüphelinin midesinden toplam 176 adet kapsül içerisinde 1 kilo 96 gram eroin maddesi ele geçirilmiş, şüpheli 2 şahıs gözaltına alınmıştır. Gözaltına alınan 2 şüpheli adli işlemlerinin tamamlanmasına müteakip 22/23 Şubat günlerinde adli makamlara sevk edilmelerine müteakip tutuklanarak Bitlis kapalı cezaevine teslim edilmiştir. Yarınlarımızın teminatı olan çocuklarımızı ve gençlerimizi uyuşturucudan korumak maksadıyla, uyuşturucu madde türevlerinin ticaretini yapan veya sosyal medya aracılığı ile alenen özendiren şahıslarla, yılmadan ve yorulmadan etkin mücadeleye bölge halkının da desteği ile kararlılıkla devam edilmektedir" denildi.







