İlginizi Çekebilir
İspanya’dan Çekya’ya gelen yolcunun midesinden yaklaşık 1,5 kilogram kokain çıktı
İspanya’dan Çekya’ya gelen yolcunun midesinden yaklaşık 1,5 kilogram kokain çıktı
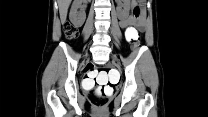
Çekya’nın başkenti Prag’daki Vaclav Havel Havaalanında yapılan kontrol sırasında uyuşturucu kaçakçısı olduğu tespit edilen ve İspanya’dan gelen yolcunun midesinden yaklaşık 1.5 kilogram kokain çıktı.
Çekya’nın başkenti Prag’ta yer alan Vaclav Havel Havaalanında İspanya’nın başkenti Madrid’den Prag’a inen bir uçak rutin risk analizi kapsamında kontrol edildi. Yolcular ve eşyaları üzerinde yapılan kontroller sırasında 35 yaşındaki yabancı uyruklu bir yolcunun ellerinden alınan uyuşturucu test örneği pozitif çıktı.
Yolcunun üzerinde ve valizinde herhangi bir uyuşturucu maddeye rastlanmazken, yolcu detaylı kontrol için hastaneye götürüldü. Hastanede, tomografi cihazı ile yapılan kontrollerde yolcunun midesinde yüksek yoğunluğa sahip kokain dolu 124 adet kapsül tespit edildi.
En zor yakalanan taşıma şekli
Prag Vaclav Havel Havaalanı Gümrük Sözcüsü Sarka Miskovska yaptığı açıklamada, “Rutin risk analizi kapsamında yaptığımız kontroller sırasında uyuşturucu testi pozitif olan bir yolcu ile ilgili yaptığımız detaylı inceleme sonrasında 124 kapsülden oluşan bin 429 gram yoğunlaştırılmış kokain ele geçirdik. Bu tarz taşıma şekli zor yakalanabilen fakat taşıyan için de bir o kadar riskli olan bir yöntem. Kapsüllerden birinin bağırsaklarda patlaması durumunda aşırı doz uyuşturucudan ölüm gerçekleşebilir” dedi.
Ulusal Uyuşturucuyla Mücadele Merkezi tarafından gözaltına alınan şüphelinin uyruğu belirtilmedi.
Avrupa’da uyuşturucu kaçakçılığı giderek artıyor
Avrupa Uyuşturucu ve Uyuşturucu Bağımlılığı Merkezi’nin geçen sene yayınladığı raporda, 2018 yılındaki verilere göre yakalanan toz esrarın 668 ton olduğu ve bir önceki yıla göre 200 ton artış gösterdiği belirtilmişti. Raporda ayrıca, yakalanan kokain miktarının ise 131 tondan 181 tona ve eroin miktarının ise 5,2 tondan 9,7 tona yükseldiği ifade edilmişti.
Raporda, Avrupa’nın uyuşturucu sorununun hızla arttığı belirtilirken, sorunun çözümü için ciddi adımlar atılması gerektiği belirtildi.
Çekya’nın başkenti Prag’ta yer alan Vaclav Havel Havaalanında İspanya’nın başkenti Madrid’den Prag’a inen bir uçak rutin risk analizi kapsamında kontrol edildi. Yolcular ve eşyaları üzerinde yapılan kontroller sırasında 35 yaşındaki yabancı uyruklu bir yolcunun ellerinden alınan uyuşturucu test örneği pozitif çıktı.
Yolcunun üzerinde ve valizinde herhangi bir uyuşturucu maddeye rastlanmazken, yolcu detaylı kontrol için hastaneye götürüldü. Hastanede, tomografi cihazı ile yapılan kontrollerde yolcunun midesinde yüksek yoğunluğa sahip kokain dolu 124 adet kapsül tespit edildi.
En zor yakalanan taşıma şekli
Prag Vaclav Havel Havaalanı Gümrük Sözcüsü Sarka Miskovska yaptığı açıklamada, “Rutin risk analizi kapsamında yaptığımız kontroller sırasında uyuşturucu testi pozitif olan bir yolcu ile ilgili yaptığımız detaylı inceleme sonrasında 124 kapsülden oluşan bin 429 gram yoğunlaştırılmış kokain ele geçirdik. Bu tarz taşıma şekli zor yakalanabilen fakat taşıyan için de bir o kadar riskli olan bir yöntem. Kapsüllerden birinin bağırsaklarda patlaması durumunda aşırı doz uyuşturucudan ölüm gerçekleşebilir” dedi.
Ulusal Uyuşturucuyla Mücadele Merkezi tarafından gözaltına alınan şüphelinin uyruğu belirtilmedi.
Avrupa’da uyuşturucu kaçakçılığı giderek artıyor
Avrupa Uyuşturucu ve Uyuşturucu Bağımlılığı Merkezi’nin geçen sene yayınladığı raporda, 2018 yılındaki verilere göre yakalanan toz esrarın 668 ton olduğu ve bir önceki yıla göre 200 ton artış gösterdiği belirtilmişti. Raporda ayrıca, yakalanan kokain miktarının ise 131 tondan 181 tona ve eroin miktarının ise 5,2 tondan 9,7 tona yükseldiği ifade edilmişti.
Raporda, Avrupa’nın uyuşturucu sorununun hızla arttığı belirtilirken, sorunun çözümü için ciddi adımlar atılması gerektiği belirtildi.







