Karnından uyuşturucu zulası çıktı

Karnından uyuşturucu zulası çıktı

Karnından uyuşturucu zulası çıktı

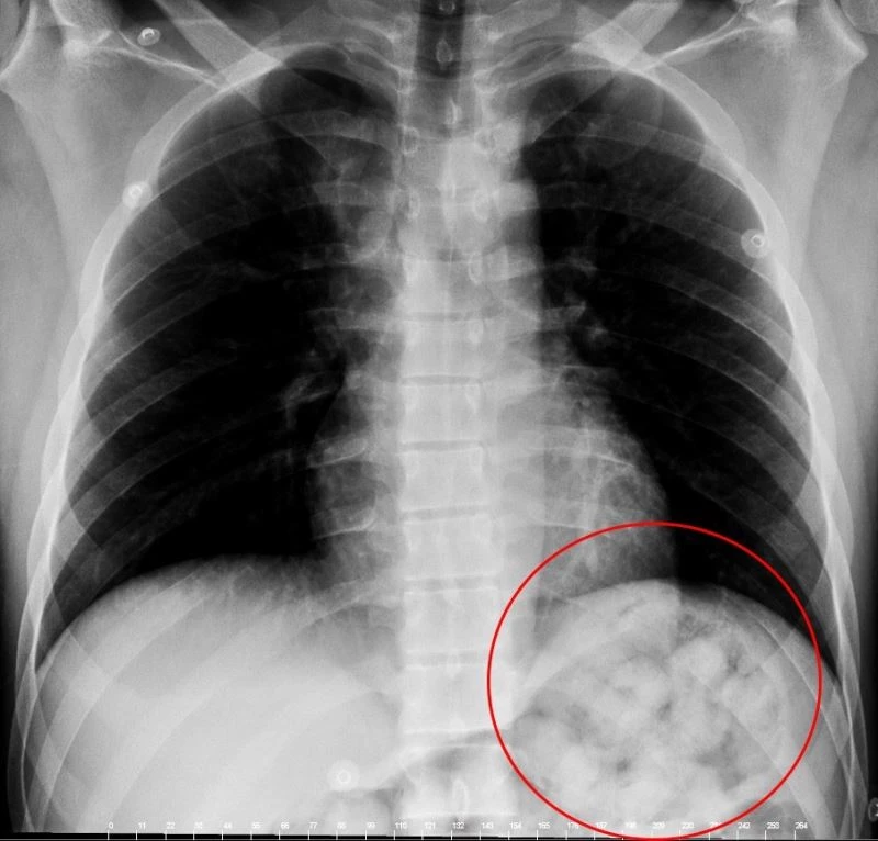
Van’dan otobüsle Ankara’ya gelen yabancı uyruklu şahıs, yuttuğu 72 kapsül metamfetamin kapsülünün midesinde patlaması üzerine rahatsızlanarak hastaneye kaldırıldı.
Edinilen bilgiye göre, 5 gün önce Van’dan otobüsle Ankara’ya gelen O. Zahed Ahmed Narziveh rahatsızlanınca hastaneye kaldırıldı. Ankara Şehir Hastanesine getirilen şahsın röntgen görüntüleri gerçeği ortaya çıkardı. Şahsın midesinde 890 gram ağırlığında 2’si patlamış halde 72 kapsül olduğu ve kapsüllerin patlaması ile fenalaştığı belirlendi. Mahkeme kararına istinaden ameliyata alınarak midesindeki metamfetamin kapsülleri çıkartılan zanlı, Ankara Emniyet Müdürlüğüne bağlı Narkotik Suçlarla Mücadele ekiplerince hastanedeki 5 günlük tedavisinin ardından adliyeye sevk edildi.


Yurt Dünya 4.03.2021 14:38:15 0

İlginizi Çekebilir

1

Cumhurbaşkanı Erdoğan, Osmaniye'de Solak ailesini ziyaret etti

2

Mersin'de "Zamanın Kırıldığı An: 6 ŞUBAT" grafik tasarım sergisi açıldı

3

Antakya Medeniyetler Korosu, depremin üçüncü yılında Hatay'da konser verdi

4

Hayat Holding "Hayat İyi Yaşam Merkezi"yle depremzedelere desteğini sürdürüyor

5

Burdur'da fuhuş operasyonunda yakalanan 2 zanlı tutuklandı

6

Bakan Kurum, 6 Şubat Depremleri Anma Programı ve Toplu Açılış Töreni'nde konuştu:

7

Bakan Bayraktar, 6 Şubat Depremleri Anma Programı ve Toplu Açılış Töreni'nde konuştu:

8

Yeniden Refah Partisi Genel Başkanı Erbakan, Hatay'da gazetecilerle buluştu

9

Hatay merkezli suç örgütü operasyonunda yakalanan 12 şüpheli tutuklandı

10

Adana'da kamyonun çarptığı kişi öldü