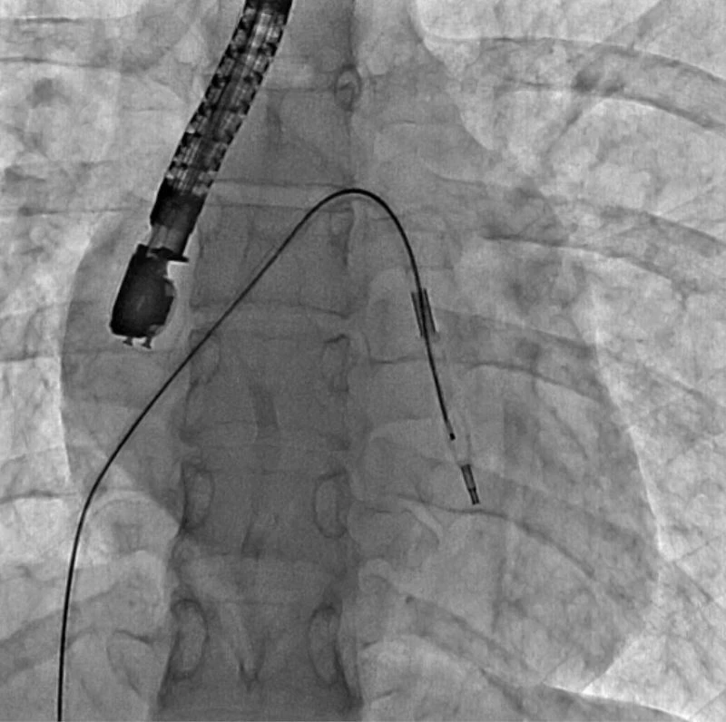
Mitral balon operasyonu adım adım kaydedildi

Mitral balon operasyonu adım adım kaydedildi

Mitral balon operasyonu adım adım kaydedildi

Eskişehir Şehir Hastanesi’nde ilk defa mitral balon operasyonu yapıldı. Operasyon, anjiyografi cihazı ile adım adım kaydedildi.
Eskişehir Şehir Hastanesi’nde Kardiyoloji Uzmanı Dr. Mehmet Özgeyik ve 4 kişilik ekibi tarafından ilk defa mitral balon operasyonu yapıldı. Türkiye’de az sayıda yapılan kalp kapağı balon işlemiyle yeni anne olmuş genç bir hasta sağlığına kavuştu. Bu sayede hastalar ameliyat olmaktan, ömür boyu kan sulandırıcı ilaçlar kullanmaktan ve metal bir kalp kapağı ile yaşamaktan kurtuluyor.
Gerçekleşen başarılı operasyon hakkında konuşan Kardiyoloji Uzmanı Dr. Mehmet Özgeyik, "Bu işlemi genellikle kalp kapaklarında ciddi darlık olan genç hastaların kişilere uyguluyoruz. Buradaki amacımız ameliyat olmadan, kasıktan küçük iki damar yolu açarak hastalarımızın kapak darlıklarını uzun süreli olarak genişletmeyi hedefliyoruz. Burada 23 yaşında yeni anne olmuş genç bir hastamıza müdahale yaptık. Hastamız ya kapak ameliyatı olacaktı ya da bu işlem sayesinde kapak darlığını aşmayı planlıyorduk. İşlem gayet başarılı oldu. Hastamızın kapak darlığını genişlettik. En azından 10-15 sene boyunca ameliyata gerek kalmadan hastamızı ilaç tedavisiyle takip etmeyi planlıyoruz" diye konuştu.

"Hastanın kendi kalp kapağını kullanmasını sağlamış olduk"
Cerrahi operasyonlar yerine mitral balon işlemiyle hastaları sağlıklarına kavuşturmak istediklerini aktaran Dr. Özgeyik, "Hastanemizde ilk kez yapılan bir işlem. Bu işlem için uygun hasta bulmak biraz zor oluyor çünkü çok sık yapılan bir işlem değil. Fakat gelecekte hasta portföyümüzün de artması ile birlikte daha sık yapmayı planlıyoruz. En azından hastalarımızı büyük bir cerrahi operasyona vermeden böyle küçük işlemlerle hayat kalitelerini artırmayı planlıyoruz. Hastamız ameliyata gitmiş olsaydı büyük bir operasyon geçirmiş olacaktı. Göğüs bölgesinde büyük bir kesiğe maruz kalacaktı. Aynı zamanda ömür boyu kullanması gereken farklı ilaçlar olacaktı. Hasta kendisine ait olmayan metal bir kapakla yaşamak zorunda kalacaktı. Biz bu işlemde hastaya kasıktan iki tane damar yolu açtık. Hastaya neşter ile kesme işlemi uygulamaktan kurtardık. Ayrıca hastanın hayatı boyunca kullanacağı kan sulandırıcı ilaçları uzunca bir süre ertelemiş olduk. En önemlisi de hastanın kendi kalp kapağını kullanmasını sağlamış olduk ve metal kapak yükünden kurtulmuş oldu" şeklinde konuştu.


Güncel 14.12.2020 11:07:02 0

İlginizi Çekebilir

1

Anadolu Grubu Onursal Başkanı Kamil Yazıcı vefat etti

2

Antalya Sağlık Müdürü Özkan'dan Kemer Devlet Hastanesine ziyaret

3

Tarım ve Orman Bakanı Yumaklı, Kahramanmaraş'ta ziyaretlerde bulundu

4

Kahramanmaraş'ta uyuşturucu operasyonunda 3 şüpheli tutuklandı

5

İSG "Sabiha Gökçen'in İzinde" serisinin üçüncü buluşmasını düzenledi

6

Tarım ve Orman Bakanı Yumaklı, Kahramanmaraş'ta konuştu:

7

Bakan Yumaklı, Kahramanmaraş Orman Bölge Müdürlüğü hizmet binası açılışında konuştu:

8

Tarım ve Orman Bakanı Yumaklı, Kahramanmaraş'ta TARDİP Projesi'nin tanıtım programında konuştu:

9

Bozyazı'da emniyet, jandarma ve sahil güvenlik mensuplarına başarı belgesi verildi

10

Zafer Partisi Genel Başkanı Özdağ, Adana'da temaslarda bulundu